Повне відновлення на чотирьох імплантатах розглядається як спосіб відновити жування та усмішку за стислий термін. План починається з 3D-КТ, оцінки кісткового об’єму, стану слизової, типу прикусу, звичок бруксизму й куріння. Ці фактори впливають на вибір системи, кутових абатментів, тимчасового протеза та часових вікон. Саме набір етапів визначає підсумковий бюджет і прогноз довговічності. У запиті всі зуби на 4 імплантатах вартість маються на увазі не лише імпланти, а повний цикл – діагностика, хірургія, ортопедія, контроль. Прозорий кошторис розкладає витрати за етапами, щоб пацієнт бачив, що оплачується зараз і що буде далі. Збалансований маршрут уникає подвійної роботи та зменшує кількість відвідувань.
З чого складається ціна: етапи, матеріали, нюанси
Підсумок складається з рішень на кожному кроці, а не з ціни одного гвинта. До уваги беруть складність анатомії, обрані матеріали, цифровий чи аналоговий протокол, обсяг післяопераційного супроводу.
- Діагностика – КТ щелеп, фотопротокол, цифрове планування, хірургічний шаблон за потреби.
- Хірургічний етап – встановлення чотирьох імплантатів, кутові мультиюніти, формувачі, шви, перев’язки.
- Аугментація – локальні підсипання або синус-ліфтинг при дефіциті кістки, мембрани, додаткові витратні.
- Знеболення й седація – тип анестезії, моніторинг, тривалість втручання.
- Тимчасовий протез – негайне навантаження або відтерміноване, роль у формуванні контуру ясен і відновленні мови.
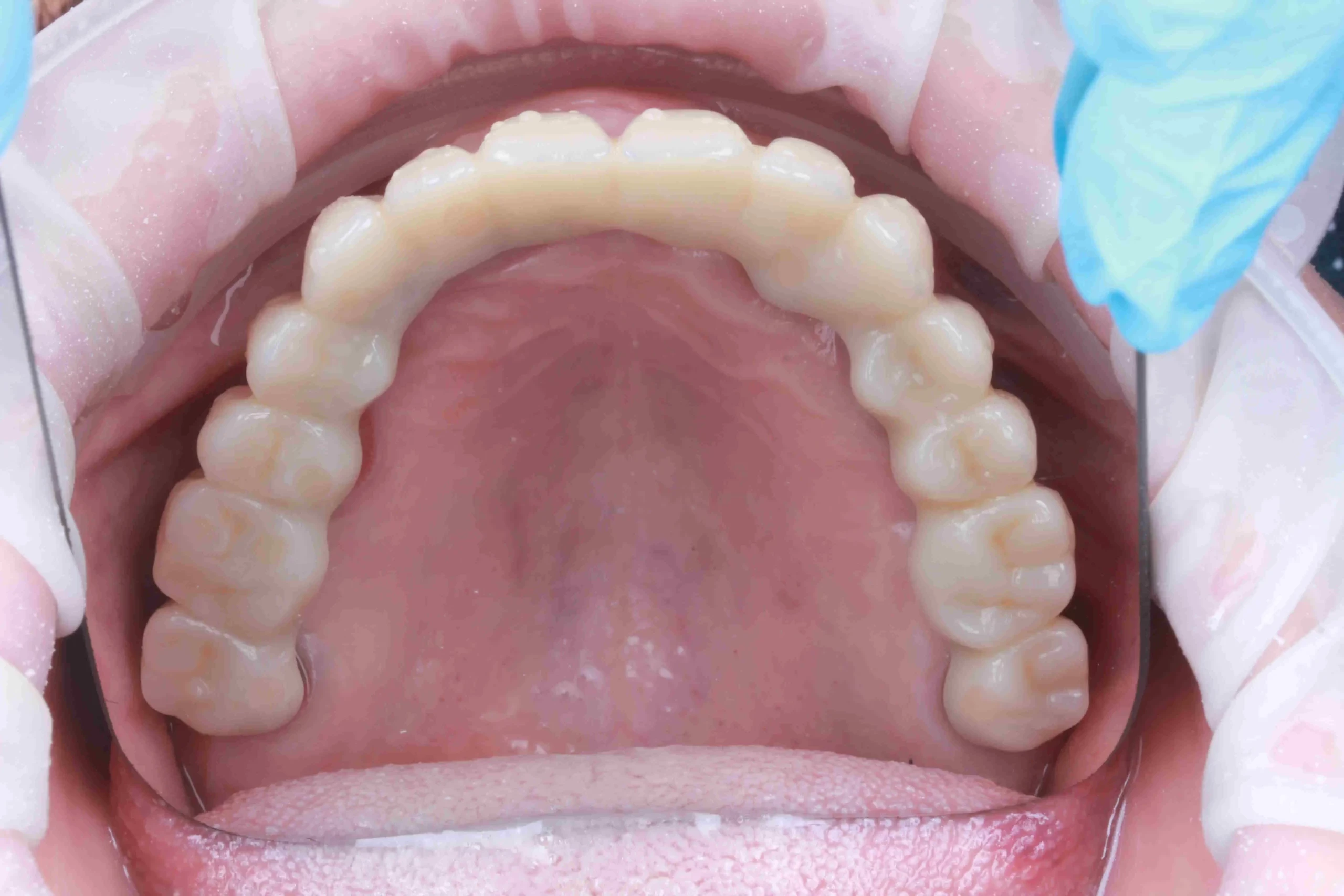
- Постійний протез – акрил на титановій балці, PMMA, мультишаровий цирконій чи гібридні конструкції; гвинтова фіксація з контролем крутного моменту.
- Лабораторія – CAD/CAM фрезерування, індивідуалізація кольору, перевірка оклюзійних контактів у різних положеннях.
- Супровід – контрольні знімки, регулювання оклюзії, профілактичні візити, гарантійні умови на компоненти й роботу.
Порівнюючи кошториси, варто дивитися на повний цикл, а не на один рядок. Саме укомплектований маршрут із поясненими етапами дає передбачуваний результат і зрозумілі строки – від тимчасового рішення у день операції до фіксації постійного протеза після інтеграції.
Підготовка та підтримка результату: строки, ризики, прогноз
Початкова фаза включає санацію, корекцію запалення, інструктаж гігієни, інколи – нічні капи при бруксизмі, щоб знизити пікові навантаження на конструкцію. Після встановлення імплантатів дотримується м’який раціон, контроль набряку, режим прийому препаратів, обмеження куріння у період загоєння. Тимчасовий протез дає можливість оцінити естетику, дикцію, зону посмішки, а також відшліфувати оклюзійні контакти перед переходом до постійної роботи. Критичним етапом стає перевірка стабільності імплантатів і стану слизової – саме ці дані визначають момент фінального навантаження. У довгостроковому горизонті прогноз тримається на регулярних профвізитах, рентген-моніторингу маргінального рівня кістки, перевірці гвинтових з’єднань і своєчасному поліруванні протеза. Коли гігієна системна, оклюзія збалансована, а план візитів виконується без збоїв, повна реабілітація на чотирьох імплантатах працює стабільно – із комфортним жуванням, естетикою посмішки та контрольованими витратами упродовж усього життєвого циклу конструкції.

