
НОВИНИ
11:08, 28 квітня
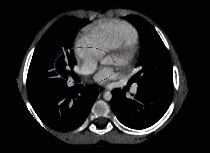
У Чернівцях семирічній дитині вперше зробили КТ серця прямо в обласній лікарні
НОВИНИ

Фото: Чернівецька обласна рада
Дитині з родини переселенців діагностували ваду серця і готують до хірургічного лікування
Про це повідомляють у Чернівецькій обласній раді.
Дитина потрапила до лікарні з пневмонією. Мати розповіла лікарям, що ще до госпіталізації помічала тривожні ознаки: хлопчик швидко втомлювався після фізичних навантажень і виглядав млявим. Це дало підстави запідозрити ваду серця.
До Чернівців спеціально приїхали фахівці Інституту серцево-судинної хірургії імені Миколи Амосова. Вони підтвердили підозру на ваду серця. Для точнішого діагнозу вирішили провести КТ серця з контрастуванням — і зробили це просто в обласній дитячій лікарні завдяки наявному сучасному обладнанню.
До цього дітей з такими підозрами направляли на обстеження до Києва. Тепер КТ серця можна зробити на місці, що особливо важливо у випадках, коли стан дитини не дозволяє безпечно її транспортувати. За результатами обстеження лікарі прийняли попереднє рішення про хірургічне лікування семирічного пацієнта.
Читайте також: Безкоштовне обстеження судин у Чернівцях: хто має право і навіщо це потрібно


Якщо ви помітили помилку, виділіть необхідний текст і натисніть Ctrl + Enter, щоб повідомити про це редакцію
Останні новини
09:20
17:12
Вчора
12:40
Вчора
09:00
Вчора
17:25
9 травня
ТОП новини
Спецтема
Оголошення
08:58, 30 квітня
34
13:06, 4 травня
13:06, 4 травня
00:08, 7 травня
11:33, Вчора
2
Коментарі